Add your promotional text...

Cavernoma

O objetivo da cirurgia de cavernoma cerebral é a retirada do cavernoma sem causar sequelas no paciente. Se o sintoma do paciente for a epilepsia, o objetivo adicional é tratar a epilepsia também.

Os casos a seguir foram operados pelo Dr. Wen Hung Tzu

Cavernoma da cabeça do núcleo caudado

Dr. Wen se preparando para realizar uma cirurgia no cérebro.
Dr. Wen se preparando para realizar uma cirurgia no cérebro.
Ressonância de paciente epiléptica antes da cirurgia no cérebro.
Ressonância de paciente epiléptica antes da cirurgia no cérebro.
Ressonância após a cirurgia com remoção total do cavernoma e paciente livre de epilepsia.epsia.
Ressonância após a cirurgia com remoção total do cavernoma e paciente livre de epilepsia.epsia.

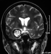
Ressonância de paciente  epiléptica de 20 anos antes da cirurgia.

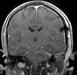
Ressonância após a cirurgia no cérebro com remoção total do cavernoma e paciente livre de epilepsia.

Dr. Wen se preparando para uma cirurgia demonstrativa em Taiwan.

Cavernoma no lobo parietal

Ressonância da paciente com cefaleia antes da cirurgia de cavernoma no cérebro.
Ressonância da paciente com cefaleia antes da cirurgia de cavernoma no cérebro.
Ressonância após a cirurgia com remoção total do cavernoma.
Ressonância após a cirurgia com remoção total do cavernoma.

Ressonância de paciente de 21 anos com cefaleia e cavernoma antes da cirurgia no cérebro.

Ressonância após a cirurgia no cérebro com remoção total do cavernoma.

Ressonância de paciente com sangramento intracerebral e cavernoma antes da cirurgia no cérebro.
Ressonância de paciente com sangramento intracerebral e cavernoma antes da cirurgia no cérebro.
Ressonância após a cirurgia com remoção total do cavernoma temporal medial.
Ressonância após a cirurgia com remoção total do cavernoma temporal medial.

Ressonância de paciente de 30 anos com sangramento intracerebral e cavernoma antes da cirurgia.

Cavernoma temporal medial direito

Ressonância após a cirurgia no cérebro com remoção total do cavernoma. Paciente livre de sangramentos intracerebrais futuros.

Cavernoma temporal direito

Paciente com cefaleia e sangramento intracerebral devido a cavernoma., antes da cirurgia no cérebro.
Paciente com cefaleia e sangramento intracerebral devido a cavernoma., antes da cirurgia no cérebro.
Ressonância após a cirurgia com remoção total do cavernoma. e paciente livre de novos sangramentos.
Ressonância após a cirurgia com remoção total do cavernoma. e paciente livre de novos sangramentos.
Paciente com epilepsia e cavernoma antes da cirurgia no cérebro.
Paciente com epilepsia e cavernoma antes da cirurgia no cérebro.
Ressonância após a cirurgia com remoção total do cavernoma e paciente livre de epilepsia.
Ressonância após a cirurgia com remoção total do cavernoma e paciente livre de epilepsia.

Cavernoma temporal esquerdo

Paciente de 17 anos com cefaleia intensa e sangramento intracerebral devido a cavernoma antes da ciruriga no cérebro.

Ressonância após a cirurgia com remoção total do cevernoma e paciente livre de novos sangramentos.

Paciente de 22 anos com epilepsia e cavernoma antes da cirurgia no cérebro.

Ressonância após a cirurgia com remoção total do cavernoma e paciente livre de epilepsia.

Cavernoma da ínsula

Paciente epiléptico com cavernoma antes da cirurgia no cérebro.
Paciente epiléptico com cavernoma antes da cirurgia no cérebro.
Ressonância após a cirurgia com remoção total do cavernoma e paciente livre de  epilepsia.
Ressonância após a cirurgia com remoção total do cavernoma e paciente livre de  epilepsia.

Cavernoma de tronco encefálico (pedúnculo cerebeloso médio)

Cavernoma frontal

Cefaleia intensa e grande sangramento intracerebral antes da cirurgia no cérebro.
Cefaleia intensa e grande sangramento intracerebral antes da cirurgia no cérebro.
Ressonância após a cirurgia com a remoção total do cavernoma.
Ressonância após a cirurgia com a remoção total do cavernoma.

Paciente de 45 anos epiléptico com cavernoma antes da cirurgia no cérebro.

Ressonância após a cirurgia com remoção total do cavernoma e paciente livre de epilepsia.

Paciente de 28 anos com cefaleia intensa e grande sangramento intracerebral antes da cirurgia no cérebro.

Ressonância após a cirurgia com remoção total do cavernoma e paciente sem risco de novos sangramentos.

Paciente com cavernoma e sangramento intracerebral antes de cirurgia no cérebro.
Paciente com cavernoma e sangramento intracerebral antes de cirurgia no cérebro.
Ressonância após a cirurgia com remoção do cavernoma e sem risco de novo sangramento.
Ressonância após a cirurgia com remoção do cavernoma e sem risco de novo sangramento.

Paciente de 35 anos com cavernoma e sangramento no pedúnculo cerebeloso médio esquerdo antes da cirurgia no cérebro.

Ressonância após a cirurgia com remoção total do cavernoma e paciente sem risco de novos sangramentos.

Ressonância corte axial após a cirurgia no cérebro e remoção total do cavernoma.
Ressonância corte axial após a cirurgia no cérebro e remoção total do cavernoma.
Ressonância mostrando volumoso sangramento na ponte devido ao cavernoma.
Ressonância mostrando volumoso sangramento na ponte devido ao cavernoma.

Cavernoma de tronco encefálico (ponte)

Tomografia de mulher de 32 anos com volumoso sangramento no tronco encefálico (ponte).
Tomografia de mulher de 32 anos com volumoso sangramento no tronco encefálico (ponte).
Ressonância coronal mostrando volumoso cavernoma (seta) na ponte (tronco encefálico).
Ressonância coronal mostrando volumoso cavernoma (seta) na ponte (tronco encefálico).
Ressonância sagital mostrando o volumoso cavernoma na ponte (seta).
Ressonância sagital mostrando o volumoso cavernoma na ponte (seta).
Tomografia após a cirurgia no cérebro e remoção do cavernoma.
Tomografia após a cirurgia no cérebro e remoção do cavernoma.
Ressonância corte sagital após a cirurgia no cérebro e remoção total do cavernoma.
Ressonância corte sagital após a cirurgia no cérebro e remoção total do cavernoma.
Ressonância corte coronal após a cirurgia no cérebro com a remoção total do cavernoma.
Ressonância corte coronal após a cirurgia no cérebro com a remoção total do cavernoma.

Tomografia e ressonância de mulher de 32 anos com fraqueza progressiva no lado esquerdo do corpo, dificuldade para engolir, piora do estado geral há 2 meses e progressivamente entrando em coma. Apresenta um volumoso sangramento na ponte (tronco encefálico) devido ao volumoso cavernoma de ponte (seta).  Foi tentada cirurgia em outro serviço sem sucesso. O exame neurológico revelou além da hemiparesia esquerda, paralisia dos nervos cranianos V ao XII à esquerda.

Tomografia e ressonância após a cirurgia no cérebro mostrando a remoção total do cavernoma. A paciente voltou a comer, engolir e caminhar sozinha após 1 semana da cirurgia.