Add your promotional text...

O tratamento de aneurisma cerebral consiste na exclusão do aneurisma da circulação sanguínea cerebral, evitando assim sua ruptura. Na microcirurgia do cérebro, faz-se a clipagem do aneurisma por meio de clipe ou clipes de titânio.

A seguir, são demonstrados alguns exemplos de aneurismas cerebrais tratados. Todas as cirurgias foram realizadas pelo Dr. Wen Hung Tzu.

Clipagem de um aneurisma da artéria cerebral média com clipe de titânio.
Clipagem de um aneurisma da artéria cerebral média com clipe de titânio.

ANEURISMAS DA ARTÉRIA COMUNICANTE ANTERIOR

Angiografia projeção frontal mostrando o aneurisma cerebral.
Angiografia projeção frontal mostrando o aneurisma cerebral.
Angiografia projeção perfil mostrando o aneurisma cerebral.
Angiografia projeção perfil mostrando o aneurisma cerebral.
Angiografia projeção frontal após a cirurgia no cérebro para a clipagem do aneurisma cerebral.
Angiografia projeção frontal após a cirurgia no cérebro para a clipagem do aneurisma cerebral.

Angiografias em projeções frontal e perfil de um homem de 58 anos em investigação por cefaleia. O círculo mostra o aneurisma cerebral.

Angiografia projeção frontal após a cirurgia no cérebro para a clipagem do aneurisma cerebral.

Angiografia projeção perfil após a cirurgia no cérebro para a clipagem de aneurisma cerebral.
Angiografia projeção perfil após a cirurgia no cérebro para a clipagem de aneurisma cerebral.
Angiografia projeção frontal mostrando o volumoso aneurisma cerebral.
Angiografia projeção frontal mostrando o volumoso aneurisma cerebral.
Angiografia digital projeção perfil mostrando 2 aneurismas cerebrais.
Angiografia digital projeção perfil mostrando 2 aneurismas cerebrais.
Reconstrução 3D da angiotomografia projeção frontal mostrando o volumoso aneurisma cerebral.
Reconstrução 3D da angiotomografia projeção frontal mostrando o volumoso aneurisma cerebral.
Reconstrução 3D da angiotomografia projeção perfil mostrando o aneurisma cerebral.
Reconstrução 3D da angiotomografia projeção perfil mostrando o aneurisma cerebral.
Reconstrução 3D da angiotomografia após a cirurgia no cérebro e clipagem do aneurisma cerebral.
Reconstrução 3D da angiotomografia após a cirurgia no cérebro e clipagem do aneurisma cerebral.
Reconstrução 3D da angiotomografia após a cirurgia no cérebro e clipagem do aneurisma cerebral.
Reconstrução 3D da angiotomografia após a cirurgia no cérebro e clipagem do aneurisma cerebral.

Angiografia projeção perfil após a cirurgia no cérebro para a clipagem do aneurisma cerebral.

Angiografia projeção frontal de mulher de 48 anos portadora de doença renal policística. O círculo mostra o aneurisma cerebral.

Angiografia perfil mostrando 2 aneurismas: um da artéria comunicante anterior (círculo) e outro da artéria comunicante posterior (seta).

Projeção frontal da angiotomografia 3D mostrando o volumoso aneurisma.

Projeção perfil da angiotomografia 3D.

Angiotomografia reconstrução 3D mostrando a clipagem de ambos os aneurismas (clipes em roxo).

Reconstrução 3D da angiotomografia projeção frontal mostrando o volumoso aneurisma cerebral.
Reconstrução 3D da angiotomografia projeção frontal mostrando o volumoso aneurisma cerebral.

Angiotomografia 3D projeção frontal de homem de 41 anos com hemorragia intracerebral causada pela ruptura do aneurisma.

Reconstrução 3D da angiotomografia projeção perfil mostrando o volumoso aneurisma cerebral.
Reconstrução 3D da angiotomografia projeção perfil mostrando o volumoso aneurisma cerebral.

Vista posterior da angiotomografia 3D do mesmo paciente.

Angiografia após a cirurgia no cérebro e clipagem do aneurisma cerebral. Projeção frontal.
Angiografia após a cirurgia no cérebro e clipagem do aneurisma cerebral. Projeção frontal.

Angiografia projeção frontal após a cirurgia no cérebro e clipagem do aneurisma cerebral.

Angiografia após a cirurgia no cérebro e clipagem do aneurisma cerebral. Projeção perfil.
Angiografia após a cirurgia no cérebro e clipagem do aneurisma cerebral. Projeção perfil.

Angiografia projeção perfil após a cirurgia no cérebro e a clipagem do aneurisma cerebral.

Caso 1

Caso 2

Caso 3

ANEURISMAS DA ARTÉRIA CARÓTIDA INTERNA

Segmento oftálmico

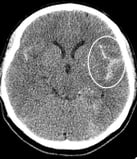
Tomografia computadorizada de um homem de 45 anos com hematoma intracerebral.
Tomografia computadorizada de um homem de 45 anos com hematoma intracerebral.

Tomografia de homem de 45 anos com hemorragia intracerebral.

Caso 1

Angiografia projeção frontal evidenciando um aneurisma cerebral.
Angiografia projeção frontal evidenciando um aneurisma cerebral.

Angiografia projeção frontal mostrando o aneurisma cerebral (círculo).

Reconstrução 3D da angiografia mostrando o mesmo aneurisma cerebral.

Angiografia após a cirurgia no cérebro e a clipagem do aneurisma cerebral.
Angiografia após a cirurgia no cérebro e a clipagem do aneurisma cerebral.

Angiografia após a cirurgia no cérebro e a clipagem do aneurisma.

Caso 2

Angiotomografia projeção frontal demonstrando a presença de um volumoso aneurisma cerebral.
Angiotomografia projeção frontal demonstrando a presença de um volumoso aneurisma cerebral.

Angiotomografia projeção frontal de uma mulher de 73 anos com queixa de cefaleia. O círculo indica um volumoso aneurisma cerebral.

Angiografia projeção frontal da mesma paciente. O círculo indica o volumoso aneurisma cerebral.
Angiografia projeção frontal da mesma paciente. O círculo indica o volumoso aneurisma cerebral.

Angiografia projeção frontal da mesma paciente. O círculo indica o volumoso aneurisma cerebral.

Angiotomografia projeção perfil. O círculo indica o volumoso aneurisma cerebral.
Angiotomografia projeção perfil. O círculo indica o volumoso aneurisma cerebral.

Angiotomografia projeção perfil mostrando o volumoso aneurisma cerebral (círculo).

Angiografia digital projeção perfil. O círculo indica o volumoso aneurisma cerebral.
Angiografia digital projeção perfil. O círculo indica o volumoso aneurisma cerebral.

Angiografia digital projeção perfil. O círculo indica o volumoso aneurisma cerebral.

Angiografia digital projeção frontal após a cirurgia no cérebro e clipagem do aneurisma cerebral.
Angiografia digital projeção frontal após a cirurgia no cérebro e clipagem do aneurisma cerebral.
Angiografia digital após a cirurgia no cérebro e clipagem do aneurisma cerebral.
Angiografia digital após a cirurgia no cérebro e clipagem do aneurisma cerebral.

Angiografia digital após a cirurgia no cérebro e clipagem do aneurisma cerebral.

Segmento paraclinoideo

Caso 1

Angiotomografia 3D de mulher de 48 anos. O círculo indica o volumoso aneurisma cerebral.
Angiotomografia 3D de mulher de 48 anos. O círculo indica o volumoso aneurisma cerebral.

Angiotomografia 3D de mulher de 48 anos em investigação de cefaleia. O círculo indica o volumoso aneurisma cerebral.

Angiografia digital após a cirurgia no cérebro e clipagem do aneurisma cerebral.
Angiografia digital após a cirurgia no cérebro e clipagem do aneurisma cerebral.

Angiografia digital projeção frontal após a cirurgia no cérebro e clipagem do aneurisma cerebral.

Angiografia digital após a cirurgia no cérebro e clipagem do aneurisma cerebral.
Angiografia digital após a cirurgia no cérebro e clipagem do aneurisma cerebral.

Angiografia digital projeção perfil após a cirurgia no cérebro e clipagem do aneurisma cerebral.

Caso 2

Angiografia digital reconstrução 3D mostrando o aneurisma cerebral.
Angiografia digital reconstrução 3D mostrando o aneurisma cerebral.

Angiografia digital 3D projeção frontal de mulher de 71 anos, portadora de doença policística. A seta indica o aneurisma cerebral.

Angiografia digital 3D. A seta indica o aneurisma cerebral.
Angiografia digital 3D. A seta indica o aneurisma cerebral.

Angiografia digital 3D projeção perfil. A seta indica o aneurisma cerebral.

Angiografia digital projeção frontal após a cirurgia no cérebro e clipagem do aneurisma cerebral.
Angiografia digital projeção frontal após a cirurgia no cérebro e clipagem do aneurisma cerebral.

Angiografia digital projeção frontal após a cirurgia no cérebro e clipagem do aneurisma cerebral.

Angiografia digital projeção perfil após a cirurgia no cérebro e clipagem do aneurisma cerebral.
Angiografia digital projeção perfil após a cirurgia no cérebro e clipagem do aneurisma cerebral.

Angiografia digital projeção perfil após a cirurgia no cérebro e clipagem de aneurisma cerebral.

Segmento comunicante

Caso 1

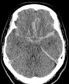
Tomografia mostrando hematoma intracerebral no lobo temporal esquerdo.
Tomografia mostrando hematoma intracerebral no lobo temporal esquerdo.

Tomografia de homem de 52 anos com hemorragia intracerebral no lobo temporal esquerdo.

Angiotomografia projeção frontal. O círculo mostra o aneurisma cerebral.
Angiotomografia projeção frontal. O círculo mostra o aneurisma cerebral.

Angiotomografia projeção frontal mostrando o aneurisma cerebral (círculo).

Angiografia digital projeção frontal após a cirurgia no cérebro e clipagem de aneurisma cerebral.
Angiografia digital projeção frontal após a cirurgia no cérebro e clipagem de aneurisma cerebral.

Angiografia digital após a cirurgia no cérebro e clipagem do aneurisma cerebral.

Angiografia digital projeção perfil após cirurgia no cérebro e clipagem do aneurisma cerebral.
Angiografia digital projeção perfil após cirurgia no cérebro e clipagem do aneurisma cerebral.

Angiografia digital projeção perfil após a cirurgia no cérebro e clipagem do aneurisma cerebral.

Caso 2

Angiografia digital projeção frontal mostrando um volumoso aneurisma cerebral.
Angiografia digital projeção frontal mostrando um volumoso aneurisma cerebral.

Angiografia digital projeção frontal de mulher de 68 anos com cefaleia. Há um volumoso aneurisma cerebral.

Angiografia digital projeção perfil mostrando o mesmo aneurisma cerebral.
Angiografia digital projeção perfil mostrando o mesmo aneurisma cerebral.

Angiografia digital projeção perfil mostrando o mesmo aneurisma cerebral.

Angiografia digital 3D perfil mostrando o mesmo aneurisma cerebral.
Angiografia digital 3D perfil mostrando o mesmo aneurisma cerebral.

Reconstrução 3D da angiografia digital perfil da mesma paciente mostrando a face medial do aneurisma.

Angiografia digital 3D mostrando a face lateral do aneurisma cerebral.
Angiografia digital 3D mostrando a face lateral do aneurisma cerebral.

Angiografia digital 3D mostrando a face lateral do aneurisma cerebral.

Angiografia após a cirurgia no cérebro e clipagem do aneurisma cerebral.
Angiografia após a cirurgia no cérebro e clipagem do aneurisma cerebral.

Angiografia digital projeção frontal após a cirurgia no cérebro e clipagem do aneurisma cerebral com vários clipes.

Angiografia digital 3D após a clipagem do aneurisma cerebral.
Angiografia digital 3D após a clipagem do aneurisma cerebral.

Angiografia digital 3D projeção frontal após a clipagem do aneurisma cerebral com vários clipes (clipes em roxo).

Angiografia digital projeção perfil após a clipagem do aneurisma cerebral.
Angiografia digital projeção perfil após a clipagem do aneurisma cerebral.

Angiografia digital projeção perfil após a clipagem do aneurisma cerebral com vários clipes.

Angiografia digital 3D após a clipagem do aneurisma cerebral.
Angiografia digital 3D após a clipagem do aneurisma cerebral.

Angiografia digital projeção perfil após a clipagem do aneurisma cerebral com vários clipes (clipes em roxo).

Caso 3

Tomografia de crânio revelando hemorragia intracerebral.
Tomografia de crânio revelando hemorragia intracerebral.

Tomografia de crânio de mulher de 66 anos com hemorragia intracerebral (círculo).

Angiotomografia perfil mostrando um aneurisma cerebral (círculo).
Angiotomografia perfil mostrando um aneurisma cerebral (círculo).

Angiotomografia 3D projeção perfil revelando um aneurisma cerebral (círculo).

Angiografia digital perfil após a cirurgia no cérebro e clipagem do aneurisma cerebral.
Angiografia digital perfil após a cirurgia no cérebro e clipagem do aneurisma cerebral.

Angiografia digital projeção frontal após a cirurgia no cérebro e clipagem do aneurisma cerebral.

Angiografia digital perfil após a cirurgia no cérebro e clipagem do aneurisma cerebral.
Angiografia digital perfil após a cirurgia no cérebro e clipagem do aneurisma cerebral.

Angiografia digital projeção perfil após a cirurgia no cérebro e clipagem do aneurisma cerebral.

Bifurcação da artéria carótida interna

Angiotomografia 3D projeção frontal mostrando um volumoso aneurisma cerebral (seta).
Angiotomografia 3D projeção frontal mostrando um volumoso aneurisma cerebral (seta).

Angiotomografia 3D de um menino de 17 anos com hemorragia intracerebral. A seta indica o volumoso aneurisma cerebral.

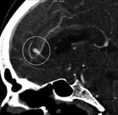
Angiotomografia perfil mostrando o aneurisma cerebral (seta).
Angiotomografia perfil mostrando o aneurisma cerebral (seta).

Angiotomografia projeção perfil revelando o aneurisma cerebral (seta).

Angiotomografia corte axial mostrando o aneurisma cerebral (seta).
Angiotomografia corte axial mostrando o aneurisma cerebral (seta).

Angiotomografia axial. A seta indica o aneurisma cerebral.

Angiografia digital projeção frontal após a cirurgia no cérebro e clipagem do aneurisma cerebral.
Angiografia digital projeção frontal após a cirurgia no cérebro e clipagem do aneurisma cerebral.

Angiografia digital projeção frontal após a cirurgia no cérebro e clipagem do aneurisma cerebral.

Angiografia digital projeção perfil após a cirurgia no cérebro e clipagem do aneurisma cerebral.
Angiografia digital projeção perfil após a cirurgia no cérebro e clipagem do aneurisma cerebral.

Angiografia digital projeção perfil após a cirurgia no cérebro e clipagem do aneurisma cerebral.

Caso 1

Caso 2

Angiografia digital projeção frontal. A seta indica o aneurisma cerebral.
Angiografia digital projeção frontal. A seta indica o aneurisma cerebral.

Angiografia digital projeção frontal de mulher de 58 anos com hemorragia intracerebral. A seta indica o aneurisma cerebral.

Angiografia digital 3D projeção perfil. A seta indica o aneurisma cerebral.
Angiografia digital 3D projeção perfil. A seta indica o aneurisma cerebral.

Angiografia digital 3D projeção perfil. A seta indica o aneurisma cerebral.

Angiografia digital projeção frontal após cirurgia no cérebro e clipagem do aneurisma cerebral.
Angiografia digital projeção frontal após cirurgia no cérebro e clipagem do aneurisma cerebral.

Angiografia digital projeção frontal após a cirurgia no cérebro e clipagem do aneurisma cerebral.

Angiografia digital projeção perfil após a cirurgia no cérebro e clipagem do aneurisma cerebral.
Angiografia digital projeção perfil após a cirurgia no cérebro e clipagem do aneurisma cerebral.

Angiografia digital projeção perfil após a cirurgia no cérebro e clipagem do aneurisma cerebral.

ANEURISMAS DA ARTÉRIA CEREBRAL MÉDIA

Caso 1

Angiografia digital projeção frontal. A seta indica o aneurisma cerebral.
Angiografia digital projeção frontal. A seta indica o aneurisma cerebral.

Angiografia digital projeção frontal de mulher de 43 anos com insuficiência renal crônica. A seta indica o aneurisma cerebral.

Angiografia digital projeção perfil. A seta indica o aneurisma cerebral.
Angiografia digital projeção perfil. A seta indica o aneurisma cerebral.

Angiografia digital projeção perfil. A seta indica o aneurisma cerebral.

Angiografia digital projeção frontal após a cirurgia no cérebro e clipagem do aneurisma cerebral.
Angiografia digital projeção frontal após a cirurgia no cérebro e clipagem do aneurisma cerebral.

Angiografia digital projeção frontal após a cirurgia no cérebro e clipagem do aneurisma cerebral.

Angiografia digital projeção perfil após a cirurgia no cérebro e clipagem do aneurisma cerebral.
Angiografia digital projeção perfil após a cirurgia no cérebro e clipagem do aneurisma cerebral.

Angiografia digital projeção perfil após a cirurgia no cérebro e clipagem do aneurisma cerebral.

Caso 2

Angiografia digital projeção frontal. A seta indica aneurisma cerebral.
Angiografia digital projeção frontal. A seta indica aneurisma cerebral.

Angiotomografia 3D projeção frontal de mulher de 59 anos com hemorragia intracerebral há 1 mês.

Angiotomografia projeção perfil. A seta indica o aneurisma cerebral.
Angiotomografia projeção perfil. A seta indica o aneurisma cerebral.

Angiotomografia projeção perfil. A seta indica o aneurisma cerebral.

Angiografia digital projeção frontal após a cirurgia no cérebro e clipagem do aneurisma cerebral.
Angiografia digital projeção frontal após a cirurgia no cérebro e clipagem do aneurisma cerebral.

Angiografia digital projeção frontal após a cirurgia no cérebro e clipagem do aneurisma cerebral.

ANEURISMAS DA ARTÉRIA PERICALOSA

Tomografia de crânio demonstrando hemorragia intracerebral.
Tomografia de crânio demonstrando hemorragia intracerebral.

Tomografia de crânio de mulher de 57 anos com hemorragia intracerebral há 1 dia.

Tomografia computadorizada de crânio revelando hematoma intracerebral.
Tomografia computadorizada de crânio revelando hematoma intracerebral.

Angiotomografia projeção perfil. O círculo indica o aneurisma cerebral.

Angiografia digital 3D após a cirurgia no cérebro e clipagem do aneurisma cerebral (clipe em roxo).
Angiografia digital 3D após a cirurgia no cérebro e clipagem do aneurisma cerebral (clipe em roxo).

Angiografia digital 3D após a cirurgia no cérebro e clipagem do aneurisma cerebral (o clipe está em roxo).

ANEURISMA DA BIFURCAÇÃO DA ARTÉRIA BASILAR

Tomografia computadorizada de crânio mostrando hemorragia intracerebral e hidrocefalia.
Tomografia computadorizada de crânio mostrando hemorragia intracerebral e hidrocefalia.

Tomografia computadorizada de crânio de mulher de 56 anos com hemorragia intracerebral e hidrocefalia.

Angiotomografia projeção frontal. A seta indica o aneurisma cerebral.
Angiotomografia projeção frontal. A seta indica o aneurisma cerebral.

Angiotomografia 3D projeção frontal. A seta indica o aneurisma cerebral.

Angiotomografia 3D projeção perfil
Angiotomografia 3D projeção perfil

Angiotomografia 3D projeção perfil. A seta indica o aneurisma cerebral.

Angiografia digital projeção frontal após a cirurgia no cérebro e clipagem do aneurisma cerebral.
Angiografia digital projeção frontal após a cirurgia no cérebro e clipagem do aneurisma cerebral.

Angiografia digital projeção frontal após a cirurgia no cérebro e clipagem do aneurisma cerebral.

Angiografia digital 3D projeção frontal após a cirurgia no cérebro e clipagem do aneurisma cerebral.
Angiografia digital 3D projeção frontal após a cirurgia no cérebro e clipagem do aneurisma cerebral.

Angiografia digital 3D projeção frontal após a cirurgia no cérebro e clipagem do aneurisma cerebral (clipe em roxo).

ANEURISMA DA ARTÉRIA CEREBELOSA POSTERIOR INFERIOR

Angiorgrafia digital 3D projeção frontal. A seta indica o aneurisma cerebral.
Angiorgrafia digital 3D projeção frontal. A seta indica o aneurisma cerebral.

Angiografia digital 3D projeção frontal de mulher de 66 anos com hemorragia intracerebral há 2 semanas. A seta indica o aneurisma cerebral.

Angiografia digital projeção oblíqua. A seta indica o aneurisma cerebral.
Angiografia digital projeção oblíqua. A seta indica o aneurisma cerebral.

Angiografia digital projeção oblíqua. A seta indica o aneurisma cerebral.

Angiografia digital projeção perfil após a cirurgia no cérebro e clipagem do aneurisma cerebral.
Angiografia digital projeção perfil após a cirurgia no cérebro e clipagem do aneurisma cerebral.

Angiografia digital projeção perfil após a cirurgia no cérebro e clipagem do aneurisma cerebral.

MALFORMAÇÃO ARTÉRIO-VENOSA

Ressonância nuclear magnética de encéfalo. O círculo mostra a MAV temporal posterior direita.
Ressonância nuclear magnética de encéfalo. O círculo mostra a MAV temporal posterior direita.
Ressonância nuclear magnética de encéfalo. O círculo mostra a MAV temporal posterior direita.
Ressonância nuclear magnética de encéfalo. O círculo mostra a MAV temporal posterior direita.

Ressonância nuclear magnética de encéfalo de moça de 20 anos com cefaleia e epilepsia. O círculo indica a malformação artério-venosa (MAV).

Angiografia carotídea projeção frontal mostrando a MAV.
Angiografia carotídea projeção frontal mostrando a MAV.
Angiografia carotídea perfil mostrando a MAV.
Angiografia carotídea perfil mostrando a MAV.

Angiografia carotídea projeções frontal e perfil mostrando a MAV.

Angiografia vértebro-basilar projeção frontal mostrando a MAV.
Angiografia vértebro-basilar projeção frontal mostrando a MAV.
Angiografia vértebro-basilar projeção perfil mostrando a MAV.
Angiografia vértebro-basilar projeção perfil mostrando a MAV.

Angiografia digital vértebro-basilar (projeções frontal e perfil) mostrando a malformação artério-venosa.

Angiografia carotiídea após a cirurgia no cérebro e ressecção da MAV.
Angiografia carotiídea após a cirurgia no cérebro e ressecção da MAV.
Angiografia carotídea projeção oblíqua após a cirurgia no cérebro e a retirada da MAV.
Angiografia carotídea projeção oblíqua após a cirurgia no cérebro e a retirada da MAV.

Angiografia carotídea (projeções frontal e oblíqua) após a cirurgia no cérebro e remoção da malformação artério-venosa.

Angiografia vértebro-basilar após a cirurgia no cérebro e remoção da MAV.
Angiografia vértebro-basilar após a cirurgia no cérebro e remoção da MAV.
Angiografia vértebro-basilar projeção frontal após a cirurgia no cérebro e remoção da MAV.
Angiografia vértebro-basilar projeção frontal após a cirurgia no cérebro e remoção da MAV.

Angiografia vértebro-basilar (projeções frontal e perfil) após a cirurgia no cérebro e remoção da malformação artério-venosa.